La mejor tecnología en imagenología maxilofacial para tus exámenes
CONÓCENOSImagenología máxilofacial de primer nivel con equipamiento de última generación para toda la segunda región.
NOSOTROS
Nuestro centro de Imagenología oral y maxilofacial nace de la necesidad de entregar un servicio de primer nivel a los profesionales de la salud y pacientes de toda la segunda región.
Contamos con radiólogos maxilofaciales acreditados, de las mejores universidades de nuestro país, quienes se comprometen en cada informe entregar el mejor conocimiento para ayudar a alcanzar diagnósticos precisos y confiables.
El equipamiento que poseemos es de última generación y con la más avanzada tecnología digital que nos permite entregar imágenes de alta calidad con dosis de radiación muy bajas para el paciente.
Somos una empresa 100% antofagastina y tenemos un compromiso con nuestro medio ambiente, por lo que todos nuestros exámenes son digitales.
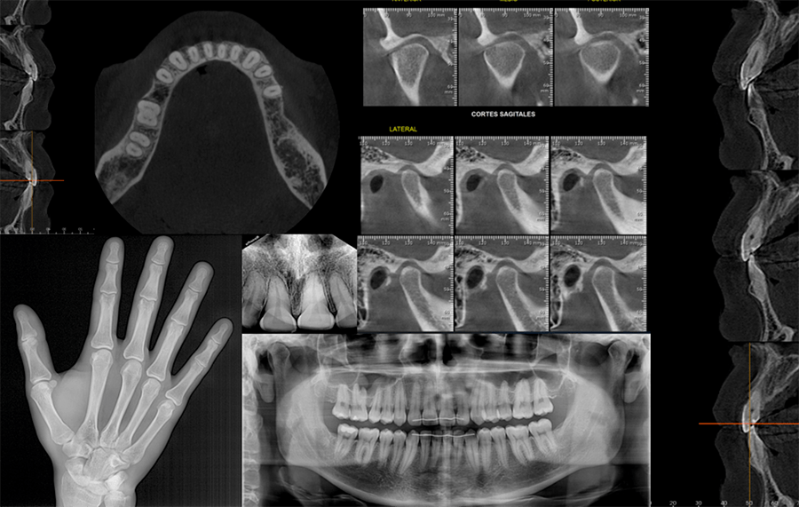
Exámenes
Resultados 100% digitales
2D
· Radiografía Panorámica
· Telerradiografía
· Radiografía de mano
· Radiografía Periapical
· Radiografía Bitewing
· Análisis Cefalométricos
3D
· Tomografía Maxilar
· Tomografía de mandíbula
· ATM MIC
· ATM en apertura
· Tomografía de craneo completo
· Tomografía de zonas maxilares
* También ofrecemos el servicio de escaneado intraoral 3shape
contacto
· ENCUÉNTRANOS: Av. Angamos #1279 of. 103, Antofagasta.
· LLÁMANOS: +56949580660
· ESCRÍBENOS: contacto@rayosxdental.cl
¿NECESITAS RESERVAR HORA?
Llena el formulario y a la brevedad te contactaremos.
© 2023 Rx Dental / Todos los derechos reservados. Sitio web desarrollado por INSIGHT
